ASCLS Webinar - When Normal Isn’t Universal: Disparities in ANC Reference Intervals

When:  Oct 15, 2025 from 13:00 to 14:00 (ET)

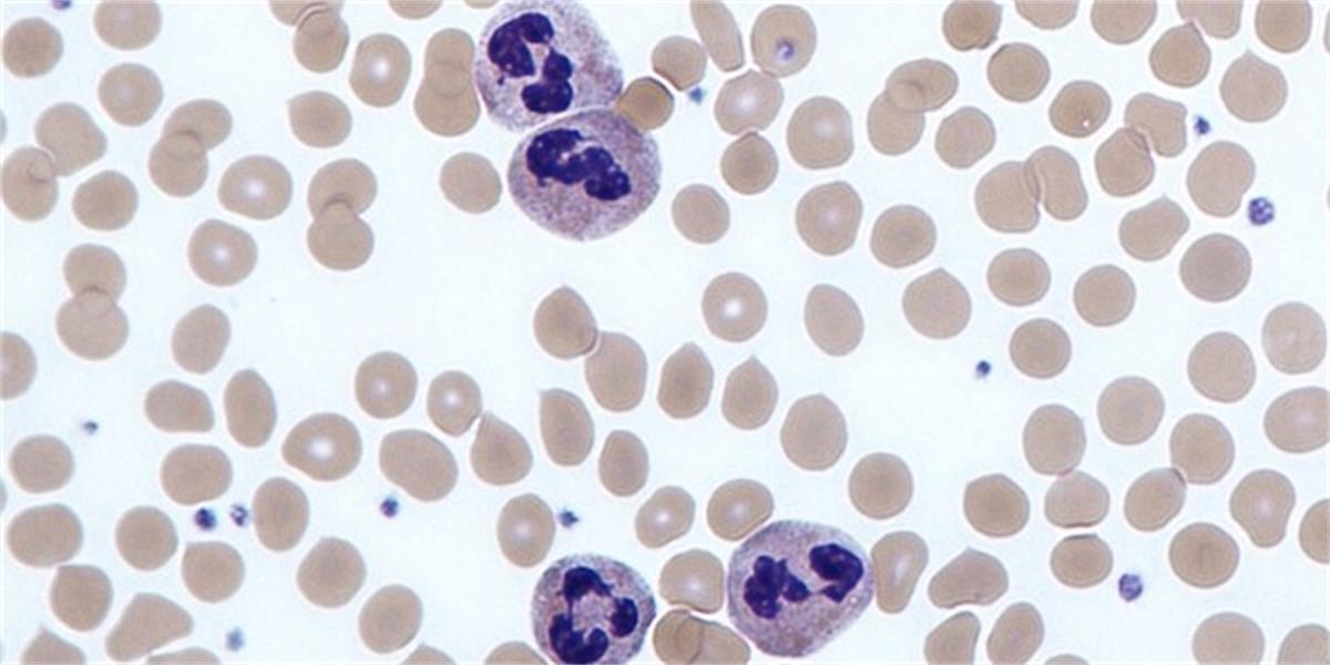
Absolute neutrophil count (ANC) is a cornerstone parameter in clinical decision-making, yet conventional reference ranges were developed in populations that do not reflect global genetic diversity. Individuals with the Duffy null phenotype, common among people of African ancestry, often present with lower circulating ANC despite normal immune competence, leading to inappropriate chemotherapy holds, drug discontinuation, or clinical exclusion. This session will review the evidence for Duffy null–specific ANC reference ranges and highlight the laboratory’s critical role in validating, implementing, and communicating these more equitable standards.

Objectives:

  1. Describe how absolute neutrophil count (ANC) reference ranges were historically developed and why they vary across populations.

  2. Explain the role of the Duffy null phenotype in producing lower circulating ANC values and its clinical implications.

  3. Identify laboratory-based strategies for validating and implementing phenotype-specific ANC reference ranges to reduce health care disparities.

Presenter: Daniel C. Dees, DCLS, CC(NRCC), MLS(ASCP)CM, Medical Director of Clinical Hematology at Brigham and Women’s Hospital and Instructor in Pathology at Harvard Medical School

Instruction Level: Intermediate

Registration: Free for ASCLS members; $10 for non-members

Location

Online Instructions: